Aslı’nın kalp kapakçığındaki delik, 3 saatlik operasyonla kapatıldı
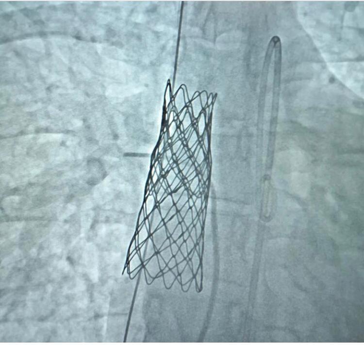
Kütahya’da, nefes darlığının yanı sıra çarpıntı şikayetiyle gittiği hastanede doğuştan kalp kapakçığında delik olduğu tespit edilen Aslı Şahin (22), yaklaşık 3 saat süren kapalı (transkateter) yöntem operasyonla sağlığına kavuştu. Prof. Dr. Mehmet Ali Astarcıoğlu, toplardamarların girişine yakın olan sinüs venosus delik tipinde, Türkiye’de bir yetişkine ilk kez kapalı yöntem uygulandığını belirtti. Astarcıoğlu, “Türkiye’de yetişkine yapılan ilk başarılı operasyon. Daha önce Ankara’da çocuk hastaya 1 kez yapılmış. Kütahya’da bu işlemi gerçekleştirmiş olmaktan çok mutluyuz” dedi.
Oğuzhan KILIÇ/ KÜTAHYA, (DHA)
• 14 Aralık 2022 - 10:30 • Son Güncelleme:
Oğuzhan KILIÇ/ KÜTAHYA, (DHA)
• 14 Aralık 2022 - 10:30 • Son Güncelleme:
1

Kütahya’da yaşayan Aslı Şahin, yaşadığı nefes darlığı ve kalp çarpıntıları nedeniyle Kütahya Evliya Çelebi Eğitim ve Araştırma Hastanesi’ne başvurdu. Yapılan tetkikler sonucu Şahin’in kalbinde doğuştan toplardamarların girişine yakın olan ve 'sinüs venosus' olarak adlandırılan kalp kapakçığında açıklık tespit edildi.
2

Doktorların açık kalp ameliyatı önerisini kabul etmeyen Şahin’in tedavisi için Kardiyoloji Ana Bilim Dalı Başkanı Prof. Dr. Mehmet Ali Astarcıoğlu, Doç. Dr. Taner Şen, Çocuk Kardiyolojisi Bölümü Uzmanı Doç. Dr. Rahmi Özdemir, İzmir Katip Çelebi Üniversitesi Tıp Fakültesi Çocuk Kardiyoloji Uzmanı Prof. Dr. Nazmi Narin ve Dr. Kaan Yıldız, bir araya gelerek ekip kuruldu. Türkiye’de yetişkinlerde sinüs venosus delik tipinde daha önce denenmemiş kapalı yöntem öneren uzman ekip, hastanın kabul etmesinin ardından 3 saatlik operasyonla kalp kapakçığındaki açıklığı kapatarak sağlığına kavuşturdu.
3

Hastanenin Kardiyoloji Ana Bilim Dalı Başkanı Prof. Dr. Mehmet Ali Astarcıoğlu, kalp kapakçığındaki açıklığın insanlarda sekundum, primum, sinüs venosus ve koroner sinüs tipi olmak üzere 4 farklı şekilde görüldüğünü söyledi.
4

Prof. Dr. Astarcıoğlu, sekundum tipi kalp kapakçığı açıklığının kapalı, diğer tiplerin ise açık cerrahi müdahaleyle tedavi edildiğini belirterek, “Hastamızda ameliyatla kapanması gereken bir kalp deliği vardı. Biz, hastamızın ameliyat istememesi sonucunda başka bir yolla kapatabilir miyiz diye değerlendirdik.
5
İzmir’den Prof. Dr. Nazmi Narin hocamızdan destek aldık. Tesadüfen o da buradaydı. Tomografi sonucunda kapatabileceğimize karar verdik. İşlemi başarıyla gerçekleştirdik. Ameliyatsız olarak kalpteki deliği başarılı bir şekilde stentleme yöntemiyle kapattık” diye konuştu.
6

‘TÜRKİYE’DE YETİŞKİNE İLK KEZ UYGULANDI’
Aslı Şahin’e uygulanan kapalı yöntemin, Türkiye’de sinüs venosus delik tipinde bir yetişkine yapılan ilk başarılı operasyon olduğunu belirten Astarcıoğlu, “Sinüs venosus tipi kalp açıklığı, toplardamarlar ile sol kulakçığı ayıran dokunun gelişim bozukluğu sonucu oluşur. Sinüs venosus tedavisinde son birkaç yılda önemli bir paradigma değişikliği oldu.
7

Bu gelişmelerin sonucu olarak kapalı stentler artık ameliyatsız olarak kapatılmasına olanak sağladı. Daha önce Ankara’da çocuk hastaya bir kez yapılmış. Kütahya’da bu işlemi gerçekleştirmiş olmaktan çok mutluyuz. Daha da ötesi hastamızın sağlığına kavuşması bizim için çok daha önemli. Operasyon yaklaşık 3 saat sürdü. Genel anestezi esnasında işlemimizi yaptık. Operasyon sonrasında hasta zaten hemen ayağa kalkabiliyor. Sonuçlar olumlu çıktığı için normal hayatına dönebilir” dedi.
8

Operasyon ekibinde yer alan Çocuk Kardiyolojisi Bölümü Uzmanı Doç. Dr. Rahmi Özdemir ise stentleme yöntemiyle kapatılan deliğin, daha önce açık ameliyatla tedavi edildiğini söyledi. Hekimlerin vizyonunun değişmesi ve teknik desteğin artmasıyla beraber dünyada artık bu tip hastalıkların kapalı olarak da yapılmaya başlandığını kaydeden Özdemir, “Türkiye’de çocuk olarak daha önce Ankara’da yapılmış hastamız var ancak erişkin hastada başarılı yapılan operasyon olmadığını biliyoruz. Erişkin hastamızı da doğumsal kalp hastalığı olması nedeniyle arkadaşlarımızın da isteğiyle çocuk kardiyologları olarak biz de dahil olduk” diye konuştu.
9

‘RAHATÇA YAŞAYAMIYOR, EĞLENEMİYORDUM’
Hastanede yapılan incelemede, kalbinin delik olduğunu öğrendiğini anlatan Aslı Şahin ise operasyonun ardından sağlığına kavuştuğu için çok mutlu olduğunu söyledi. Açık kalp ameliyatı istemediği için doktorların kapalı yöntemle operasyon yaptığını belirten Şahin, “Hastaneye çarpıntı şikayetiyle geldim.
10

Tetkiklerden sonra kalbimin delik olduğunu öğrendim. Açık ameliyat yapmaya karar vermişlerdi ve ben kabul etmemiştim. Daha sonra kapalı ameliyat yapmaya karar verdiler. Kabul ettim. Kapalı ameliyatımı oldum. Çok mutlu ve sağlıklıyım. Sağlığıma yeniden kavuşturdular. Daha önce çok yoruluyordum. Nefes darlığı nedeniyle rahatça yaşayamıyor, eğlenemiyordum. Operasyondan sonra çok daha iyiyim, çok çabuk ayaklandım. Hiçbir şekilde kesi yok. Bu yüzden çok rahat oldu. Doktorlarıma, hemşirelere, çalışanlara hepsine tek tek teşekkür ediyorum. Emeği geçen herkesten Allah razı olsun” dedi.
11




