Uzmanlar uyardı; elektrikli skuter kazaları kafa travması ve ölümlere de neden oluyor
Uzmanlar, son yıllarda skuter kazalarıyla acile gelerek büyük ameliyat geçiren hastaların sayısında önemli bir artış olduğuna dikkat çekiyor. Cerrahpaşa Tıp Fakültesi Estetik Plastik ve Rekonstrüktif Cerrahi Uzmanı Doç. Dr. Semih Bağhaki, acillerde skuter kazalarıyla giderek daha fazla karşılaştıklarını belirterek, "Son 2-3 yıldır giderek artan ve artacak gibi de gözüken bir yaralanma grubu elektrikli skuter kazaları. Göz küresini çevreleyen kemiklerin kırıkları sonucu, gözünü, görmesini kaybeden hastalar da gördük. Daha da kötüsü hayatını kaybeden hastalar da duyuyoruz. Hastaların önemli bir kısmı 20-40 yaş grubu genç erişkinler. Baş ve boyun bölgesi ile el kol kemikleri en sık görülen yaralanmalar" dedi.
Özlem YURTÇU KARABULUT- Özgür KUMANOVALI / İSTANBUL, (DHA)
• 12 Temmuz 2022 - 10:41 • Son Güncelleme:
Özlem YURTÇU KARABULUT- Özgür KUMANOVALI / İSTANBUL, (DHA)
• 12 Temmuz 2022 - 10:41 • Son Güncelleme:
1

Son yıllarda yaygın kullanımıyla sokak ve caddelerde hatta trafikte bile kullanılan skuterlerin ölümlere bile neden olan ciddi yaralanmalara neden olduÄŸu tespiti yapıldı. Hastanelerin acil servislerine skuter kazaları nedeniyle baÅŸvuran hastalarda son birkaç yıldır ciddi bir artış gözleniyor. Uzman doktorlar kazaların sanıldığı gibi sadece el, kol ve bacak kırıklarına neden olmadığını, kafa travması gibi hayati tehlikeler yaÅŸandığını açıkladı.Â
2

"SON 2-3 YILDIR GİDEREK ARTIYOR"
İstanbul Üniversitesi-Cerrahpaşa Cerrahpaşa Tıp Fakültesi'nden Estetik Plastik ve Rekonstrüktif Cerrahi Uzmanı Doç. Dr. Semih Bağhaki, bedeni koruyacak bir kafes olmadığı için skuter kazalarının tehlikeli olduğunu belirterek "Daha çok baş boyun bölgesinde meydana gelen yaralanmalar plastik cerrahlar olarak bize geliyor. Ama bunun haricinde el ve kol kemiklerine ait yaralanmalar da ikinci sırayı alıyor. Bu hastaların önemli bir kısmını ameliyat etmek zorunda kalıyoruz.
3

Son 2-3 yıldır giderek artan ve artacak gibi de gözüken bir yaralanma grubu elektrikli skuter kazaları. Göz küresini çevreleyen kemiklerin kırıkları sonucu, gözünü, görmesini kaybeden hastalar da gördük. Daha da kötüsü hayatını kaybeden hastalar da duyuyoruz.
4

Hastaların önemli bir kısmı 20-40 yaş grubu genç erişkinler. Fakat 50-60 yaş üzeri, orta yaş ve ileri yaş hastaları da son dönemde görmeye başladık. Çünkü genç kullanıcıların çarpması sonucu yaralanıyor bu kişiler de. Skuter kazaları tehlikeli tabii ki. Sağı solu kontrol edecek herhangi bir ayna düzeneği yok. Bedeni koruyacak bir kafes yok, bu araçlar bildiğiniz şehir trafiğine çıkabiliyor" diye konuştu.
5

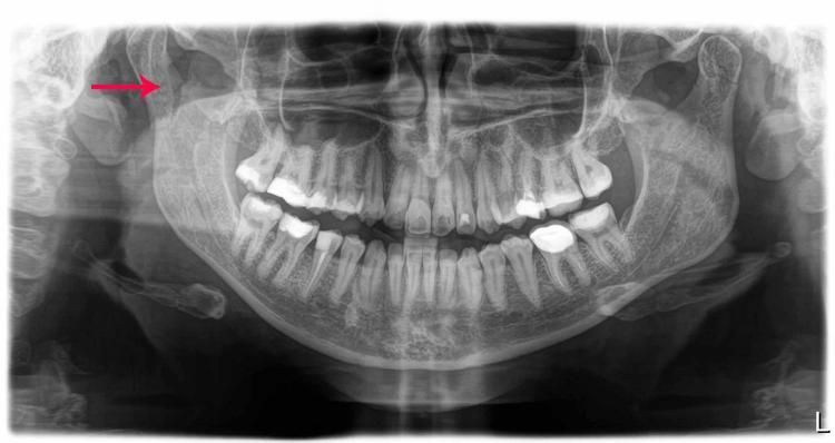
"ACİLE ÇENE VE DİŞ TRAVMASIYLA GELENLERİN ÇOÄžU SKUTER  KAZASI"Â
Diş Hekimi Dr. Hatice Ağan, en çok baş boyun bölgesi kırıklarıyla gelen hastalar olduğuna dikkat çekerken, skuter kazası geçiren hastaların sanıldığı gibi sadece basit kol bacak yaralanmaları ile değil, kafa travmalarından göz küresi ve çene kemiği kırıklarına, hatta beyin kanamalarına dek çok ciddi yaralanmalarla geldiğine işaret etti.
6

Ağan şöyle konuştu: "Eskiden diş acillerine ev ya da trafik kazaları sonucu travma hastaları sık gelirdi. Şimdi acile gelen çene ve diş travmalarının çoğunluğu elektrikli skuter kullanımına bağlı oluyor. Son yıllarda bunlarda büyük bir artış görüyoruz. Travmanın geliş açısına bağlı olarak en çok ön dişlerde kırıklar oluyor. Kask kullanımı tabii ki kafa travmalarının önüne geçilebilir. Ama skuterlerde direkt öne doğru düştükleri için, çene ve burnun üstüne düşme ihtimalleri çok daha fazla. Onda da çene geriye doğru gittiğinde eklem bölgesinde basılar ya da kırıklar oluyor. Dolayısıyla çene koruyucusunu da dahil olduğu bir kask kullanılması gerekiyor. Bisiklette kullanılan kasklar çene ya da burun travmaları için tam da önleyici olur diyemeyiz."
7

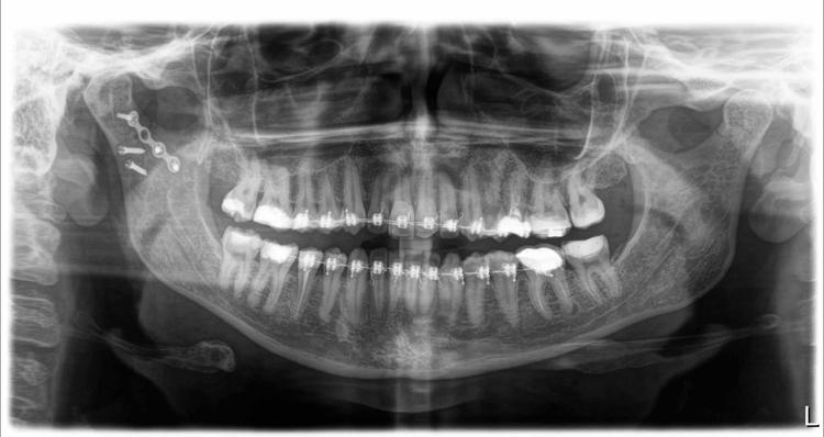
5 DAKİKALIK YOLCULUK İÇİN 7 AY TEDAVİ GÖRDÜ
Skuter kazazedesi 40 yaşındaki Mimar Deniz Gümülcinelioğlu, geçtiğimiz yaz yaşadığı kaza nedeniyle çene kemiğinin kırıldığını ve büyük ameliyatlar geçirdiğini söyledi.
8

Geçici yüz felci yaşadığını ve 7 ayının kabus gibi geçtiğini anlatan Gümülcinelioğlu şunları anlattı: "Skuter aslında çok sıklıkla kullanmıyorum. Üçüncü kez kullanmıştım, eve acil dönmem gerekiyordu. Yürümek yerine skuter kullanayım dedim. Sokak köşesinde dönemeçten hemen sonra bir restoran vardı. Restoranın masaları nedeniyle yavaşlamıştım ama döndüğüm an önümdeki mazgalı fark etmedim.
9
Tekerlek o mazgala girdi. Öne doğru savruldum ve çenemi çarptım. Çenem, burnum, bütün yüzümü yere çarptım. Olayın sıcağıyla başta anlamadım. Çene kemiğim iki taraftan kırılmış. Çok büyük bir cerrahi ameliyat geçirdim. Ameliyat öncesinde dişlerime tel takıldı.
10

Çünkü lastikle çenemi oturtmaları gerekiyordu. Ameliyatın yapıldığı yerden yüz sinirleri geçtiği için, sağ tarafımda yüz sinirlerimde geçici yüz felci oluştu. Gözüm kapanmıyordu, güldüğüm zaman ağzım hareket etmiyordu. Çiğneme, yemek yiyememe bir tarafa, ağrılarım dayanılmazdı. 6-7 ayı buldu iyileşmem. Sağ tarafım, ameliyat sonrası başka bir ben oldu. Bu olaydan sonra uygulamayı hemen sildim ve çevremdeki insanlara da başıma geleni anlatıp kullanmamalarını öneriyorum."
11

"KANUNLAR KAŞ YAPARKEN GÖZ ÇIKARDI"
Güvenli sürüş teknikleri eğitimi veren Rahmi Barutçu ise elektrikli skuter kullanımında herhangi bir eğitim olmadığını belirterek şunları söyledi: "Trafikte, herhangi biri, bu vasıtayı ehliyeti olmadan kullanabiliyor. Kanunlar kaş yaparken göz çıkardı. Örneğin, kaldırımda kullanmak yasak.
12

Bu sefer yola, araç trafiğine çıkıyor kullanıcı. Aynası yok, klaksonu yok, arkasına önüne bakmıyor, freni de zayıf. İki tekerli vasıta kullanma yetkisi olmayan kişilerin bunları 'açık trafikte' kullanması son derece riskli. Kiralık olmayan kişisel skuter daha tehlikeli, çünkü onda hız limiti daha yüksek. Fizik gereği ileri giden bir şeyden düşerseniz, ileriye doğru fırlarsınız ve yüzünüzün ön bölümünden darbe alırsınız.
13

Örneğin, motosiklet kazalarında önden darbe alma olasılığı yüzde 47'dir. Üstelik şehir içinde olan kazalar bunlar. Genelde 50 kilometre altı hızda oluyor. İnsanların 'Zaten yavaş gidiyorum ne olacak ki?' dediği bir hız. Bisiklet kas gücü ile çalışır, elektrikli skuter ise motorlu araçlar. İnsanın koşabileceği hızın çok üstünde bir hızla gidiyor. O hızda düşerseniz ileri gitme hızını da koşarak ya da yürüyerek tolere edemezsiniz. Ayrıca, açık trafikte sürüş yapan vasıtaların azami-asgari hız limiti var. Bağdat Caddesi'nde 20-30 kilometre örneğin. Bunların arasında 10-15 kilometreyle giden bir araç skuter. Akan trafiğe uyum diye bir madde var kanunda da. Kanun kendi kendiyle de çelişiyor. Ergonomi açısından da sıkıntılı. Küçük tekerlek çapı nedeniyle midye kabuğuna takılsa, bir anda durur ve üzerindeki sürücü aynı hızla uçmaya devam eder. Trafiğe çıkacaksa bu araçlar, eğitimi, ehliyeti olmayan kullanamamalı, kask takılması mecburi olmalı. Bazı motosiklet skuter var, onlarda kask var. Ama diğerlerinde yok."
14

HIZ LİMİTİNİN DÜŞÜRÜLMESİ DE YETMEDİ
Gemius araştırma şirketinin verilerine göre sadece 14 Mart-14 Nisan 2022 tarihleri arasındaki sadece 1 aylık dönemde dahi elektrikli skuter uygulamalarını ziyaret edenlerin sayısı yaklaşık 4,5 milyonu buluyor. Araştırmaya göre, en çok 18-44 yaş arası skuter kullanırken, erkek ve kadınların kullanım oranı ise neredeyse eşit.
15





