Midesinden 44 kapsül uyuşturucu madde bonzai çıktı

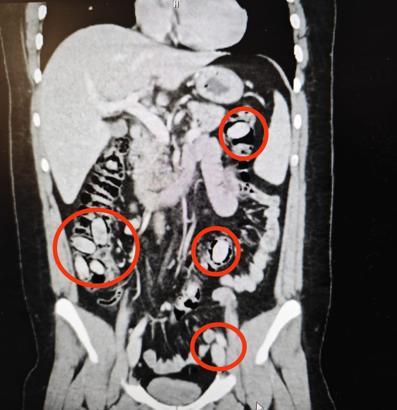
ESKİŞEHİR, (DHA)- ESKİŞEHİR’de polisin şüphe üzerine durdurduğu S.A.’nın (25) midesinde 44 kapsül uyuşturucu bonzai maddesi olduğu tespit edildi. Hastanede cerrahi müdahaleyle kapsüller çıkarılırken, şüpheli erkek S.A. tutuklandı.
Eskişehir Emniyet Müdürlüğü ekipleri, yurtdışından Eskişehir’e geldiği belirlenen S.A.’yı kent girişinde durdurdu. Sürekli midesini tutmasından şüphe edilmesi üzerine S.A., hastanede sağlık kontrolünden geçirildi. Şüpheli S.A.’nın hastanede çekilen röntgeninde midesinde 44 kapsül olduğu tespit edildi. Eskişehir Cumhuriyet Başsavcılığı’nın talimatıyla cerrahi müdahaleye alınan S.A.’nın midesindeki 44 kapsül çıkarıldı. Kapsüllerde yapılan incelemede içerisinde uyuşturucu metamfetamin (bonzai) maddesi olduğu belirlendi.
Hastanede tedavisi tamamlanan S.A., taburcu edilirken, polis ekiplerince gözaltına alındı. İşlemlerinin ardından adliyeye sevk edildn S.A., ‘uyuşturucu ticareti’ suçlamasıyla tutuklanarak cezaevine konuldu. (DHA)






