İranlı şüphelilerin midelerinde uyuşturucu tespit edildi; 3 gözaltı

Samed Aydın SUN/KAYSERİ, (DHA)- KAYSERİ'de, polisin uyuşturucu operasyonunda yakalanan İran uyruklu şüphelilerin midelerinde kapsül halinde toplam 554 gram uyuşturucu çıktı. 3 şüpheli, gözaltına alındı.
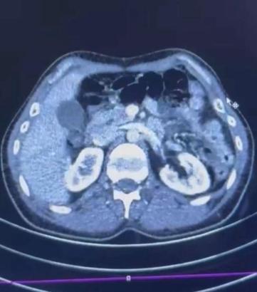
İl Emniyet Müdürlüğü Narkotik Suçlarla Mücadele Şube Müdürlüğü ekipleri, uyuşturucu ticareti yapan kuryelerin yakalanmasına yönelik çalışma başlattı. İran uyruklu 3 şüphelinin yurt dışından Türkiye'ye uyuşturucu getireceği bilgisi alındı. Şüphelilerin bulunduğu adreslere düzenlenen operasyonla S.C. (41), G.M. (28) ve R.B.C. (35) gözaltına alındı. Şüphelilerden S.C. ve R.B.C. muayene edilmek üzere Kayseri Şehir Hastanesi'ne getirildi. Röntgeni ve ultrason çekilen şüphelilerin midesinde yaklaşık 50 kapsülde 554 gram uyuşturucu olduğu tespit edildi. Uyuşturucular sağlık ekiplerinin tedavisiyle çıkarıldı. 3 şüphelinin emniyetteki işlemleri ise sürüyor. (DHA)








