
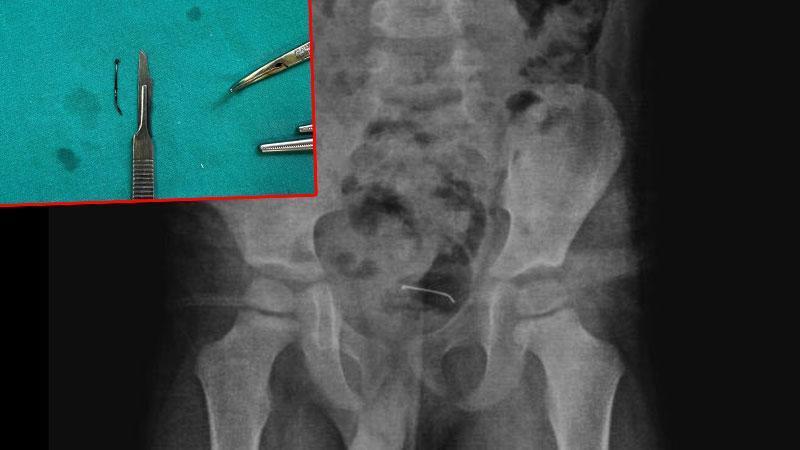
Güroymak'ta sürekli karın ağrısı şikayeti çeken 5 yaşındaki çocuk, ailesi tarafından çeşitli sağlık kuruluşlarına götürüldü. Sonuç alamayan aile, en son Tatvan Devlet Hastanesi'ne başvurdu. Burada çekilen röntgende, çocuğun mesane duvarında metal bir cisim olduğu belirlendi. 9 ay önce yutulan ve vücutta kalan 3 santimetrelik toplu iğnenin mesane duvarına yapıştığı tespit edilince ameliyata karar verildi.
'KESİCİ VE DELİCİ CİSİMLER ÇOK TEHLİKELİ'
Tatvan Devlet Hastanesi Çocuk Cerrahi Uzmanı Op. Dr. Tahsin Onat Kamçı tarafından gerçekleştirilen operasyonla, toplu iğne başarılı bir şekilde çıkarıldı. Gözlem altında tutulan çocuk, birkaç gün sonra taburcu edildi. Op. Dr. Tahsin Onat Kamçı "Cerrahi operasyonla 3 santimetre civarındaki toplu iğneyi çıkardık. Hastayı birkaç gün takipte tuttuk. Genel sağlık durumu iyi olan hastamızı taburcu ettik. Kesici ve delici cisimler çok tehlikeli. Bu gibi cisimlerin çocukların ulaşabileceği yerlere bırakılmaması gerekiyor" dedi.








